Rodspidsoperation

Hvorfor opstår rodspidsbetændelse

Alle tænder har en rodkanal som forsyner tanden med nerver og blodkar. Hvis der kommer bakterier ind i rodkanalen, eller tanden skades således, at blodforsyningen til tanden skades, skal tanden rodbehandles.
Nogle gange er en rodbehandling ikke tilstrækkelig, da succesraten for en rodbehandling hos tandlægen sjældent vil være over 80-90%. Har det ikke ved rodbehandlingen været muligt at få fjernet alle bakterierne i tanden, vil der før eller siden opstå betændelse omkring rodspidsen på tanden. Undersøgelser her i landet viser, at op mod 50% af alle danskere over 30 år har mindst én tand med rodspidsbetændelse. Ligeledes viser undersøgelser, at op mod 40% af alle rodbehandlede tænder har betændelse omkring en eller flere rodspidser.

Hvordan foregår operationen

Man vil under operationen kunne fornemme tryk i området, men operationen vil være smertefri. Ved operationen fjernes rodspidsen (rodspidsamputation) samt betændelsesvævet omkring roden.  Rodkanalen forsegles efterfølgende med en fyldning således, at risikoen for at en ny infektion i roden kan opstå reduceres mest muligt. En rodspidsoperation tager – afhængigt af, hvilken tand det drejer sig om og hvor mange rødder, der skal opereres –  typisk 10-30 minutter. Operationen foretages i lokalbedøvelse. Det meste af operationen skal man have munden næsten lukket. 

Baggrunden for at foretage rodspidsoperation

En stor andel af tænder med rodspidsbetændelse giver ikke symptomer. Betændelse omkring rodspidser kan imidlertid medføre spredning af bakterier til resten af kroppen og forårsage alvorlig sygdom. Når betændelse i kæbeknoglen konstateres, giver det derfor god mening at behandle betændelsestilstanden med rodspidsoperation. Når tanden er rodspidsopereret, vil roden begynde at hele op med ny kæbeknogle, og tanden vil få sin normale funktion tilbage. Betændelsen er dermed fjernet, og tanden kan bevares. Succesraten for en rodspidsoperation (dvs sandsynligheden for, at betændelsen ikke kommer igen) vil være omkring 90%.

Hvad man skal forvente efter operationen

De første mange timer efter operationen vil man være dækket af den anvendte lokalbedøvelse. Inden lokalbedøvelsen aftager, skal man have opstartet den ordinerede smertestillende medicin. Det mest normale vil være, at man har behov for smertestillende i typisk to-fem dage afhængigt af, hvilken tand i tandsættet, det drejer sig om. Der vil – som hovedregel – komme en mindre hævelse i operationsområdet.

Hvorfor opstår rodspidsbetændelse

Alle tænder har en rodkanal som forsyner tanden med nerver og blodkar. Hvis der kommer bakterier ind i rodkanalen, eller tanden skades således, at blodforsyningen til tanden skades, skal tanden rodbehandles.

Nogle gange er en rodbehandling ikke tilstrækkelig, da succesraten for en rodbehandling hos tandlægen sjældent vil være over 80-90%. Har det ikke ved rodbehandlingen været muligt at få fjernet alle bakterierne i tanden, vil der før eller siden opstå betændelse omkring rodspidsen på tanden. Undersøgelser her i landet viser, at op mod 50% af alle danskere over 30 år har mindst én tand med rodspidsbetændelse. Ligeledes viser undersøgelser, at op mod 40% af alle rodbehandlede tænder har betændelse omkring en eller flere rodspidser.

Baggrunden for at foretage rodspidsoperation

En stor andel af tænder med rodspidsbetændelse giver ikke symptomer. Betændelse omkring rodspidser kan imidlertid medføre spredning af bakterier til resten af kroppen og forårsage alvorlig sygdom. Når betændelse i kæbeknoglen konstateres, giver det derfor god mening at behandle betændelsestilstanden med rodspidsoperation. Når tanden er rodspidsopereret, vil roden begynde at hele op med ny kæbeknogle, og tanden vil få sin normale funktion tilbage. Betændelsen er dermed fjernet, og tanden kan bevares. Succesraten for en rodspidsoperation (dvs sandsynligheden for, at betændelsen ikke kommer igen) vil være omkring 90%.

Hvordan foregår operationen

Man vil under operationen kunne fornemme tryk i området, men operationen vil være smertefri. Ved operationen fjernes rodspidsen (amputation) samt betændelsesvævet omkring roden.  Rodkanalen forsegles efterfølgende med en fyldning således, at risikoen for at en ny infektion i roden kan opstå reduceres mest muligt. En rodspidsoperation tager – afhængigt af, hvilken tand det drejer sig om og hvor mange rødder, der skal opereres –  typisk 10-30 minutter. Operationen foretages i lokalbedøvelse. Det meste af operationen skal man have munden næsten lukket. 

Hvad man skal forvente efter operationen

De første mange timer efter operationen vil man være dækket af den anvendte lokalbedøvelse. Inden lokalbedøvelsen aftager, skal man have opstartet den ordinerede smertestillende medicin. Det mest normale vil være, at man har behov for smertestillende i typisk to-fem dage afhængigt af, hvilken tand i tandsættet, det drejer sig om. Der vil – som hovedregel – komme en mindre hævelse i operationsområdet.

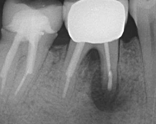
kindtand med rodspidsbetændelse

Rodspidsbetændelse

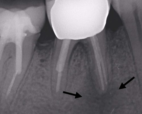
kindtand lige efter roidspidsoperation

Efter rodspidsoperation

kindtand med heling efter rodspidsoperation

Heling 4 mdr efter operation

Komplikationer efter rodspidsoperation

Som det også gør sig gældende ved fjernelse af visdomstænder, så er rodspidsoperation et meget teknikfølsomt indgreb. Undersøgelser viser også her, at antallet af komplikationer, er afhængig af kirurgens erfaring.
Jo mere erfaring desto højere succesrate. Indgrebets sværhedsgrad stiger, jo længere bagud man bevæger sig i tandrækken.
Som specialklinik for tand-, mund- og kæbekirurgi modtager vi patienter med henblik på rodspidsoperation. Vi opererer tæt på 1000 rodspidsoperationer om året.

Rodspidsoperation af kindtand
Rodspidsoperation af kindtand

Komplikationer efter rodspidsoperation

Som det også gør sig gældende ved fjernelse af visdomstænder, så er rodspidsoperation et meget teknikfølsomt indgreb. Undersøgelser viser også her, at antallet af komplikationer, er afhængig af kirurgens erfaring.
Jo mere erfaring desto højere succesrate. Indgrebets sværhedsgrad stiger, jo længere bagud man bevæger sig i tandrækken.
Som specialklinik for tand-, mund- og kæbekirurgi modtager vi patienter med henblik på rodspidsoperation. Vi opererer tæt på 1000 rodspidsoperationer om året.

Patientvejledning efter rodspidsoperation

Sårpleje

Såret må lades helt i ro. Undgå at berøre det med fingre, lommetørklæde eller andet. Undgå at ”pille” i det med tungen eller at ”suge” på såret.

Tandbørstning / mundskylning

Tandbørstning må foretages morgen og aften, da det er vigtigt for sårets heling, at munden holdes ren. Tandbørstning skal indskrænkes til ikke opererede områder.
Da du er blevet syet, skal såret holdes rent med klorhexidin mundskyl. Mundskylning skal foretages med stor forsigtighed. Indtil fjernelsen af eventuelle sting skal munden skylles to gange dagligt i et minut.

Fysiske anstrengelser

Fysiske anstrengelser bør begrænses mest muligt de første to døgn for at undgå blødning.

Kost

Kosten må den første dag være blød og kold. Vent med at spise til bedøvelsen er forsvundet. Undgå at tygge i det område, hvor såret er.

Hævelse

Hævelse opstår efter indgrebet, og den kan holde sig i flere dage. Hævelsen er typisk mest udtalt på dag to. Er hævelsen kraftig, tiltager den i størrelse efter dag to, optræder der synkebesvær, eller er der temperaturstigning, skal du kontakte klinikken eller søge anden lægelig hjælp.

Smerter

Smerter vil forekomme i varierende omfang. Receptordineret medicin kan sædvanligvis afhjælpe smerterne. Er smerterne stærke og tiltagende, bør du kontakte klinikken, da en efterbehandling af såret kan være påkrævet.

Efterblødning

Efterblødning i form af en let sivende blødning kan forekomme det første døgn. Blødningen kan behandles ved i opretsiddende stilling at lægge en fugtet gazekrølle over såret og holde den på plads i 15 minutter ved at bide fast sammen. Behandlingen kan om nødvendigt gentages. Lykkes det ikke på denne måde at standse blødningen, skal du kontakte klinikken eller søge anden lægelig hjælp.

Sårpleje

Såret må lades helt i ro. Undgå at berøre det med fingre, lommetørklæde eller andet. Undgå at ”pille” i det med tungen eller at ”suge” på såret.

Tandbørstning / mundskylning

Tandbørstning må foretages morgen og aften, da det er vigtigt for sårets heling, at munden holdes ren. Tandbørstning skal indskrænkes til ikke opererede områder.
Da du er blevet syet, skal såret holdes rent med klorhexidin mundskyl. Mundskylning skal foretages med stor forsigtighed. Indtil fjernelsen af eventuelle sting skal munden skylles to gange dagligt i et minut.

Fysiske anstrengelser

Fysiske anstrengelser bør begrænses mest muligt de første to døgn for at undgå blødning.

Kost

Kosten må den første dag være blød og kold. Vent med at spise til bedøvelsen er forsvundet. Undgå at tygge i det område, hvor såret er.

Hævelse

Hævelse opstår efter indgrebet, og den kan holde sig i flere dage. Hævelsen er typisk mest udtalt på dag to. Er hævelsen kraftig, tiltager den i størrelse efter dag to, optræder der synkebesvær, eller er der temperaturstigning, skal du kontakte klinikken eller søge anden lægelig hjælp.

Smerter

Smerter vil forekomme i varierende omfang. Receptordineret medicin kan sædvanligvis afhjælpe smerterne. Er smerterne stærke og tiltagende, bør du kontakte klinikken, da en efterbehandling af såret kan være påkrævet.

Efterblødning

Efterblødning i form af en let sivende blødning kan forekomme det første døgn. Blødningen kan behandles ved i opretsiddende stilling at lægge en fugtet gazekrølle over såret og holde den på plads i 15 minutter ved at bide fast sammen. Behandlingen kan om nødvendigt gentages. Lykkes det ikke på denne måde at standse blødningen, skal du kontakte klinikken eller søge anden lægelig hjælp.

Kompetencer

På Kæbekirurgisk Klinik udføres alle indgreb af højt specialiseret personale. Alle kirurger har massiv erfaring fra mangeårigt virke både i og uden for det offentlige sundhedsvæsen.

Klinikkens kirurger udfører årligt mere end 5000 operationer, der spænder fra mindre kirurgiske indgreb til større indgreb som høst af hofteknogle og kæbeledskirurgi.

Kvaliteten sikres ved kun at knytte specifikke kirurger til enkelte funktioner. Dette sikrer, at de aktuelle behandlere gennem mangeårig hospitalsfunktion inden for det specifikke område har tilegnet sig de nødvendige kompetencer.

De ansatte kirurger på Kæbekirurgisk Klinik foretager derfor kun indgreb, som de også varetager på deres respektive hospitalsafdelinger, ligesom vores plejepersonale (assistenter og sygeplejersker) har relevante og forudsatte kompetencer til at varetage behandling, information, observation og pleje.

Kompetencer

På Kæbekirurgisk Klinik udføres alle indgreb af højt specialiseret personale. Alle kirurger har massiv erfaring fra mangeårigt virke både i og uden for det offentlige sundhedsvæsen.

Klinikkens kirurger udfører årligt mere end 5000 operationer, der spænder fra mindre kirurgiske indgreb til større indgreb som høst af hofteknogle og kæbeledskirurgi.

Kvaliteten sikres ved kun at knytte specifikke kirurger til enkelte funktioner. Dette sikrer, at de aktuelle behandlere gennem mangeårig hospitalsfunktion inden for det specifikke område har tilegnet sig de nødvendige kompetencer.

De ansatte kirurger på Kæbekirurgisk Klinik foretager derfor kun indgreb, som de også varetager på deres respektive hospitalsafdelinger, ligesom vores plejepersonale (assistenter og sygeplejersker) har relevante og forudsatte kompetencer til at varetage behandling, information, observation og pleje.

Har du spørgsmål ?

    Har du spørgsmål ?